أمراض الأطفال والمراهقين

علاج تسوس الأسنان عند الأطفال

علاج تسوس الأسنان عند الأطفال

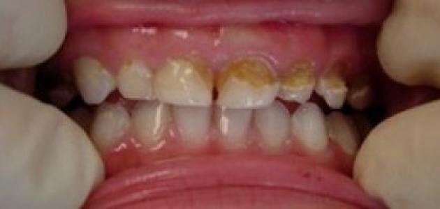
تحدث الإصابة بنخر أو تسوّس الأسنان (بالإنجليزية: Tooth decay) لدى الأطفال نتيجة تآكل مينا الأسنان بسبب الإفرازات الحمضيّة التي تنتجها البكتيريا الموجودة في الفم، حيثُ يتغيّر لون الأسنان إلى اللون البنيّ أو الأسود في المراحل المتقدّمة من التسوّس، وقد يؤدي في النهاية إلى حدوث ثقب في السنّ المتضرّر، وتجدر الإشارة إلى أنّ الأسنان الأماميّة الأربعة العُليا لدى الأطفال هي الأكثر عرضة للإصابة بالتسوّس، وفي الحقيقة يرتفع خطر الإصابة بتسوّس الأسنان لدى الأطفال بسبب ليونة ورقّة مينا الأسنان لديهم، وتجدر الإشارة إلى أنّ البكتيريا المسبّبة لتسوّس الأسنان وهي بكتيريا العقدية الطافرة (بالإنجليزية: Mutans streptococci) تنتقل إلى فم الأطفال عن طريق لعاب الأشخاص الذين يقدمون الرعاية للطفل، ويرتفع خطر إصابة الأطفال بتسوّس الأسنان في حال كان هؤلاء الأشخاص يعانون من تسوّس غير معالج في الأسنان أيضاً، وتتغذى هذه البكتيريا على سكّر اللاكتوز الموجود في الحليب، أو السكريّات الموجودة في الحلوى، ومن الجدير بالذكر أنّه يمكن من خلال اتّباع عدد من الطرق والنصائح الوقاية من تسوّس الأسنان لدى الأطفال بشكلٍ كبير.[١]

يعتمد علاج تسوّس الأسنان لدى الأطفال على شدّة الحالة، وعُمُر الطفل، والأعراض المصاحبة للتسوّس، وعلى صحة الطفل العامّة، وفي معظم الحالات يتمّ علاج التسوّس من خلال إزالة الجزء المنخور أو المتضرّر من السنّ واستبداله بما يُعرَف بحشوة الأسنان، حيثُ تملأ هذه الحشوة المكان المتضرّر من السنّ ليستعيد السنّ شكله الطبيعيّ، وفي الحقيقة يوجد نوعان رئيسيان لحشوة الأسنان، وفي ما يأتي بيان لكلٍ منهما:[٢]

  • الترميم المباشر: يحتاج هذا النوع من حشوة الأسنان إلى جلسة واحدة فقط عند طبيب الأسنان لترميم المنطقة المتضرّرة من السنّ، حيثُ يتمّ صنع الحشوة من الصمغ، أو حمض الأكريليك (بالإنجليزية: Acrylic acids)، أو الفضة، أو مسحوق الزجاج الناعم، كما تكون عادةً الحشوة بلون السنّ، ثمّ يتمّ ملء المنطقة المنخورة من السنّ بهذه الحشوة.
  • الترميم غير المباشر: يحتاج هذا النوع من حشوة الأسنان إلى جلستين أو أكثر عند طبيب الأسنان لترميم السنّ بشكلٍ كامل، ويتضمن هذا النوع من الترميم، الحشوات الضمنيّة، والحشوات الفوقيّة، وجسور الأسنان، وطبقة الفينير (بالإنجليزية: Veneers)، ويتمّ صناعة هذا النوع من الحشوات، من الذهب، أو أحد أنواع المعادن الأخرى، أو الخزف، أو قد يتمّ خلط عدّة مواد في الحشوة نفسها، وبعد انتهاء تركيب الحشوة تبدو وكأنّها مينا الأسنان الطبيعيّة.

تختلف أعراض تسوّس الأسنان من طفل إلى آخر، وفي الحقيقة، في بعض الأحيان قد لا يسبّب تسوّس الأسنان أيّة أعراض لدى الطفل المصاب، حيثُ يتمّ اكتشاف التسوّس بالصدفة عند زيارة طبيب الأسنان، أمّا في الحالات التي يكون فيها التسوّس مصحوباً ببعض الأعراض فقد يشعر الطفل بألم في المنطقة المحيطة بالسنّ المتسوّس، أو قد يعاني من الحساسيّة لدى بعض أنواع الأطعمة مثل الحلويات، أو المشروبات الباردة والساخنة، وعلى الرغم من أنّ تسوّس الأسنان قد يتطوّر بشكلٍ مختلف من طفل إلى آخر، إلا أنّه توجد في العادة بعض العلامات الشائعة التي قد تظهر على السنّ وتدلّ على تسوّس السنّ، نذكر منها ما يأتي:[٢]

  • ظهور بقع بيضاء على السنّ المتأثر بالتسوّس، وتدلّ هذه البقع على بدء تضرّر مينا الأسنان، وقد يبدأ الطفل بالشعور بالحساسيّة في الأسنان في هذه المرحلة.
  • تشكّل تجويف صغير في السنّ المتضرّر، ويظهر بلون بنيّ فاتح.
  • توسّع التجويف المتشكّل في السنّ وتغيّر لونه إلى اللون الأسود.

هناك العديد من الطرق والنصائح المختلفة التي يمكن اتّباعها للوقاية من تسوّس أسنان الأطفال، نذكر منها الآتي:[٣]

  • الحرص على صحة وسلامة أسنان الأم الحامل قبل ولادة طفلها، من خلال زيارة طبيب الأسنان وإجراء فحص للكشف عن سلامة الأسنان.
  • الحرص على تنظيف لثة الطفل الرضيع من خلال مسح اللثة بلطف باستخدام قطعة قماش مخصّصة للطفل، وبعد ظهور أول أسنان الطفل يمكن استخدام فرشاة أسنان مخصّصة للأطفال، وإضافة معجون الأسنان لتنظيف الأسنان يوميّاً.
  • الحرص على تنظيف أسنان الطفل مرتين يوميّاً، ولمدّة دقيقتين بالفرشاة والمعجون في المرحلة ما بين السنة والثلاث سنوات من عُمُر الطفل، وتجدر الإشارة إلى أنّ أفضل وقت لتنظيف أسنان الطفل بعد وجبة الإفطار، وقبل النوم.
  • تجنّب اصطحاب الطفل لزجاجة الحليب، أو أي من أنواع الطعام إلى الفراش، حيثُ يزداد خطر الإصابة بتسوّس الأسنان بسبب تراكم السكريّات بين أسنان الطفل، كما يزداد خطر الإصابة بعدوى الأذن، والاختناق.
  • تجنّب استخدام زجاجة الحليب، أو كأس شرب الأطفال لتهدئة الطفل، أو تركهما مع الطفل فترة طويلة، وفي حال رغبة الطفل بحمل زجاجة الحليب، أو كأس الشرب لفترة طويلة يمكن ملؤها بالماء فقط.
  • التأكد من احتواء مياه الشرب على مادّة الفلورايد (بالإنجليزية: Fluoride)، وفي حال عدم احتوائها على هذه المادة يمكن زيارة طبيب الأسنان، حيثُ يصف الطبيب أحد المكمّلات التي تحتوي على الفلورايد، أو قد يطلي الطبيب الأسنان بمادّة الفلورايد لحمايتها من التسوّس.
  • الحرص على تقليل كميّة الحلويات التي يتناولها الطفل، بسبب احتوائها على كميّات كبيرة من السكّر الذي يمكن أن يعلق في الأسنان، ويزيد من خطر الإصابة بالتسوّس، كما يجب تعليم الطفل على تنظيف الأسنان من بقايا الطعام العالقة بالأسنان باستخدام اللسان عند الانتهاء من تناول الطعام.
  • زيارة طبيب الأسنان قبل بلوغ الطفل السنة الأولى من العُمُر لأخذ المشورة اللازمة حول صحة وسلامة أسنان الطفل.

  1. “Tooth decay – young children”, www.betterhealth.vic.gov.au, Retrieved 27-9-2018. Edited.
  2. ^ أ ب “Tooth Decay (Caries or Cavities) in Children”, www.hopkinsmedicine.org, Retrieved 27-9-2018. Edited.
  3. “How to Prevent Tooth Decay in Your Baby”, www.healthychildren.org,8-9-2015، Retrieved 27-9-2018. Edited.

مقالات ذات صلة

زر الذهاب إلى الأعلى
إغلاق

أنت تستخدم إضافة Adblock

برجاء دعمنا عن طريق تعطيل إضافة Adblock