أمراض جلدية

أسباب تصبغات الجلد

أسباب تصبغات الجلد

تنتج خلايا مُتخصّصة في البشرة مادّة بُنيّة مسؤولة عن إعطاء البشرة لونها، تُسمّى بصبغة الميلانين (بالإنجليزيّة: Melanin)، وهنالك العديد من الحالات التي قد تؤدّي إلى ضرر أو تلف في هذه الخلايا، وبالتالي خلل في إنتاجها لمادّة الميلانين، وتُعدّ تصبّغات الجلد أو تصبغات الجسم (بالإنجليزيّة: Hyperpigmentation) من الاضطرابات الجلديّة الشائعة والناتجة عن فرط في إفراز الميلانين، ممّا يؤدي إلى ظهور بقع أغمق لوناً من اللون طبيعيّ للبشرة،[١][٢] وتجدر الإشارة إلى أنّ التصبّغات الجلدية من الممكن أن تظهر على الرجال والنساء من جميع الأعراق، إلّا أنّها عادة ما تكون أكثر شيوعاً لدى الأشخاص من ذوي البشرة الداكنة، ويُعدّ علاج التصبّغات الجلديّة مُهمّاً لما له من تأثير في تحسين مظهر المُصاب، وتعزيز ثقته بنفسه، بالإضافة إلى تعزيز صحّة الجلد والبشرة.[٣]

مقالات ذات صلة

يُمكن تصنيف تصبّغات الجلد إلى نوعين اعتماداً على طريقة انتشارها، فمنها التصبّغات المركزيّة (بالإنجليزيّة: Focal Hyperpigmentation) والتي عادة ما تظهر بعد تعرّض الجلد للالتهاب نتيجة التعرّض لإصابة، كالحروق، والجروح، أمّا النوع الثاني من التصبّغات فهي التصبّغات المنتشرة (بالإنجليزيّة: Diffuse Hyperpigmentation) التي عادة ما تنتج عن الأمراض والمشاكل الصحيّة، أو الأورام، أو استخدام بعض أنواع الأدوية، وفيما يلي بيان لبعض من أبرز أسباب ظهور التصبّغات المركزيّة أو المُنتشرة على الجلد:[٤][٥]

  • التعرّض للشمس: عند تعرّض الجلد لأشعّة الشمس لفترات طويلة، يقوم الجلد بزيادة إفراز مادة الميلانين بهدف حماية الجلد، ممّا قد يؤدي إلى ظهور بقع داكنة اللون على البشرة، كبقع التقدّم في العمر (بالإنجليزيّة: Age Spots) أو النمش (بالإنجليزيّة: Lentigines) التي عادة ما تظهر على الوجه، واليدين، وغيرها من المناطق المُعرّضة للشمس من الجلد، ويبدأ ظهور هذه البقع في مُنتصف العمر في العادة، وتزداد مع التقدم في العمر.
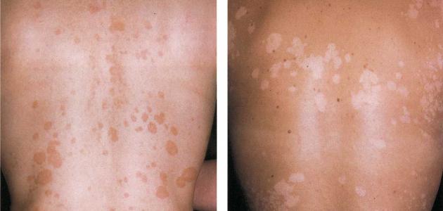
  • التهاب الجلد: أو فرط التصبّغ ما بعد الالتهاب (بالإنجليزيّة: Post-Inflammatory Hyperpigmentation)، وتنتج بعد تعرّض الجلد لإصابة تُسبب الالتهاب: كالجروح، والطفح الجلديّ، وحب الشباب؛ حيثُ يُعدّ الالتهاب أحد طرق الجسم لحماية الجلد، ويؤدي إلى زيادة إفراز صبغة الميلانين خلال عمليّة الشفاء، يظهر هذا النوع من تصبّغات الجلد باللون الوردي، أو البنيّ، أو الأسود، باختلاف لون بشرة المُصاب ودرجة شدّة التصبّغات، وتجدر الإشارة إلى أنّه كلّما كان لون البشرة أغمق، كان الشخص أكثر عُرضة للإصابة بفرط التصبغ ما بعد الالتهاب وكانت عمليّة الشفاء تتطلّب وقتاً أطول.[٦]
  • التغيّرات الهرمونيّة: أو الكلف (بالإنجليزيّة: Melasma) وهي بقع متناسقة وذات لون بني داكن تظهر على الوجه، وغالباً ما تكون على الجبين، ومنطقة ما بين العنق والأذن، والخدود، وأعلى الشفتين، والأنف، وعادة ما يُصيب الكلف النساء الحوامل، والنساء اللواتي يستخدمن الأدوية المانعة للحمل (بالإنجليزيّة: Oral Contraceptives)، ويُمكن للتعرّض للشمس أن يكون عاملاً مُساعداً، بالإضافة لاضطرابات الغدة الدرقيّة (بالإنجليزيّة: Thyroid) والأدوية التي تُسبب حساسيّة للضوء (بالإنجليزيّة: Photosensitizing Drugs).
  • أخذ بعض أنواع الأدوية: قد تؤدّي بعض المواد الكيميائيّة الموجودة في الكريمات الموضعيّة إلى التصبّغات، كما وأنّ بعض الأدوية من الممكن أن تُسبب ظهور تصبّغات رماديّة اللون على الجلد، ومنها: مضادات الاكتئاب ثلاثية الحلقات (بالإنجليزيّة: Tricyclic Antidepressants)، وبعض المضادّات الحيويّة (بالإنجليزيّة: Antibiotic)، ومُضادات الالتهاب اللاستيرويدية (بالإنجليزيّة: Non-Steroidal Anti-inflammatory Drugs)، والباربيتورات (بالإنجليزيّة: Barbiturates).
  • الاضطرابات الصحيّة: هنالك عدد من أسباب ظهور التصبّغات والتي من الممكن أن تكون أكثر خطورة على المُصاب، وعادة ما تظهر التصبّغات الناتجة عنها بشكل منتشر، ومن الاضطرابات الصحيّة المُسببة:
    • داء أديسيون: (بالإنجليزيّة: Addison’s Disease) وهو خلل في عمل الغدة الكظريّة (بالإنجليزيّة: Adrenal Gland) وينتج عنه تصبغات في الشفتين، والأكواع، والركب، ومفاصل اليدين، وبطانة الخد، كما وقد يؤدي إلى ظهور بعض الأعراض الأخرى كالتعب، والغثيان، والتقيؤ، وخسارة الوزن، وألم في المعدة.
    • داء ترسب الأصبغة الدموية: (بالإنجليزيّة: Hemochromatosis) وهي حالة جينيّة من احتواء الجسم على نسب عالية من الحديد، وبالإضافة لتصبّغات الجسم من الممكن أن تؤدي إلى التعب، وألم المعدة، وألم المفاصل، وخسارة الوزن.

يُنصح المُصاب بالتصبّغات بتجنّب تعريض المناطق المُصابة لأشعة الشمس بشكل أساسيّ، وارتداء الملابس المُوفرة للحماية والقبّعات ونظارات الشمس، بالإضافة لتطبيق واقٍ شمسي بعامل حماية من الشمس (بالإنجليزيّة: Sun Protection Factor) أو SPF 45 أو أكثر، وتجنّب الدعك الشديد للبشرة، كما وأنّ هنالك العديد من طرق العلاج المنزليّة والطبيّة التي تُساعد على التخلّص من التصبّغات.[٣]

في الحقيقة، يوجد العديد من العلاجات الطبيّة التي قد تُساعد على حل مُشكلة التصبّغات، ومنها ما يُمكن تطبيقه بشكل موضعيّ في المنزل، أو بإجراءات يقوم بها الأخصّائي المعالج، وفيما يلي بيان لبعض من أبرز العلاجات الطبية المُستخدمة لعلاج تصبّغات الجلد:[٧]

  • كريمات التفتيح: (بالإنجليزيّة: Lightening Creams) وهي مستحضرات متاحة دون الحاجة لوصفة طبية، عادة ما تُستخدم لعلاج الكلف والتصبّغات الناتجة عن التعرّض للشمس، وتحتوي هذه الكريمات على العديد من المواد المُعالجة، ومنها: الهيدروكوينون (بالإنجليزيّة: Hydroquinone)، ومستخلص عرق السوس (بالإنجليزيّة: Licorice Extract)، وفيتامين ب 3.
  • أحماض البشرة: (بالإنجليزيّة: Skin Acids) التي تعمل من خلال تقشير الطبقات العليا من البشرة في حالات التصبّغات الخفيفة عند الأشخاص الذين ملكون بشرة ذات لون فاتح، ومن هذه الأحماض: حمض الأزيليك (بالإنجليزيّة: Azelaic Acid)، وحمض الساليسيليك (بالإنجليزيّة: Salicylic Acid)، وفيتامين ج.
  • الريتنويدات: (بالإنجليزيّة: Retinoids) أو مُستخلصات فيتامين أ، وترجع فاعليّتها إلى قدرتها على الدخول إلى الطبقات العميقة من الجلد، كما وأنّها عادجة ما تُستخدم في إزالة التجاعيد.
  • الإجراءات: يُمكن إجراء هذا النوع من طرق العلاج في عيادة أخصائي الجلديّة، ومنها: التقشير الكيميائي (بالإنجليزيّة: Chemical Peel)، والتقشير بالليزر، ونبضات الضوء المُكثّف (بالإنجليزيّة: Intense Pulse Light Therapy)، والتقشير السطحي (بالإنجليزيّة: Microdermabrasion)، وتسحيج الجلد (بالإنجليزيّة: Dermabrasion).

فيما يلي بيان لبعض من العلاجات المنزلية والمواد الطبيعيّة التي يُمكن استخدامها في المُساعدة على علاج تصبّغات الجلد:[٨]

  • خل التفاح: ويُستخدم من خلال تخفيفه بالماء، ومن ثم تطبيقه على البقع مرّتين خلال اليوم، ويُمكن إرجاع قدرة خل التفاح على التفتيح إلى احتوائه على حمض الأسيتيك (بالإنجليزيّة: Acetic Acid).
  • الألوفيرا: يُمكن تطبيق الألوفيرا على الوجه مرة يوميّاً قبل النوم، ومن ثم غسل الوجه عند الاستيقاظ في الصباح، وتعمل الألوفيرا على تفتيح البشرة لاحتوائها على مادة الألوين (بالإنجليزيّة: Aloin).
  • البصل الأحمر: بيّنت بعض الدراسات فاعليّة قشور البصل الأحمر المُجفّفة في تفتيح البشرة، وتجدر الإشارة إلى أنّ العديد من المُستحضرات الطبيّة المُتاحة لعلاج التصبّغات تحتوي على مُستخلص من البصل الأحمر.
  • الشاي الأخضر: يُمكن استخدام أكياس الشاي الأخضر بعد نقعها في الماء المغليّ لبضع دقائق، ومن ثم تطبيقها على التصبّغات الجلديّة بعد تبريدها مرّتين يوميّاً.
  • الحليب: يُعدّ الحليب من العلاجات الفعالة لإزالة البقع الداكنة على البشرة لاحتوائه على حمض اللاكتيك (بالإنجليزيّة: Lactic Acid)، ولاستخدامه يتم نقع قطنة في الحليب، ومن ثمّ مسح البقع الداكنة بها.

يتحدث الفيديو عن أسباب تصبغات الوجه.

  1. “HYPERPIGMENTATION”, www.aocd.org, Retrieved 17-5-2019. Edited.
  2. “Skin Pigmentation Disorders”, medlineplus.gov, Retrieved 17-5-2019. Edited.
  3. ^ أ ب “HYPERPIGMENTATION”, www.asds.net, Retrieved 17-5-2019. Edited.
  4. “Hyperpigmentation”, www.msdmanuals.com, Retrieved 17-5-2019. Edited.
  5. “What to know about hyperpigmentation”, www.medicalnewstoday.com, Retrieved 17-5-2019. Edited.
  6. “Post-Inflammatory Hyperpigmentation and Acne”, www.verywellhealth.com, Retrieved 17-5-2019. Edited.
  7. “8 Treatment Options for Hyperpigmentation”, www.healthline.com, Retrieved 17-5-2019. Edited.
  8. “How to Treat Skin Hyperpigmentation Naturally”, www.healthline.com, Retrieved 17-5-2019. Edited.

مقالات ذات صلة

زر الذهاب إلى الأعلى
إغلاق

أنت تستخدم إضافة Adblock

برجاء دعمنا عن طريق تعطيل إضافة Adblock